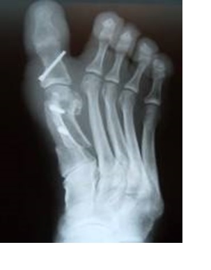
مناشدة لإزالة إبرة من رجل طفلة بزاكورة
الطفلة نعيمة بكار البالغة من العمر عشر سنوات، والقاطنة بحي المنصور الذهبي بمدينة زاكورة، تعرضت لحادث دخول إبرة في رجلها، فقامت عائلتها بنقلها إلى مستشفى المدينة، فبدل أن يمدوا لهم يد العون قاموا بصد جميع الأبواب في وجههم. وأمرهم بنقلها إلى مدينة ورزازات، فقام أب الطلفة ع. بكار بنقل ابنته إلى مستشفى ورزازات ليتفاجأ برفض نزع الإبرة التي لا تزال بداخل رجلها إلى حد الآن، والغريب بأن المسؤولين في المستشفى يدعون بأنه لا يوجد عندهم المخدر (البنج) !!! ثم يتحايلون على أب الطفلة ويأمرونه بالعودة بها إلى مستشفى زاكورة من أجل التخدير ثم العودة بها مرة ثانية إلى مدينة ورزازات لنزع الإبرة من رجل الطفلة نعيمة !!!
ولهذا نناشد جميع المسؤولين للتدخل من أجل علاج الطفلة ونزع الإبرة من رجلها ونحن على أبواب الدخول المدرسي وعيد الأضحى.

الزاكوريين حاقرهم المدير الجهوي للصحةاطباء كيتعينو فزاكورة و كيسفطهم لمدن اخرى بحال traumato و l ORL هاد الشي حرام والساكت شيطان اخرس